小児脳脊髄腫瘍科Department of Pediatric Neurooncology
Neurosurgical Department 02
小児脳脊髄腫瘍科のご紹介
小児脳脊髄腫瘍科は、お子さんの脳や脊髄に発生する腫瘍に特化した専門診療科です。
最先端の知識と技術を用い、安全で効果的な治療を行うとともに、世界水準の研究に基づいた医療を提供しています。
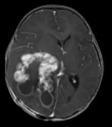
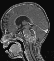
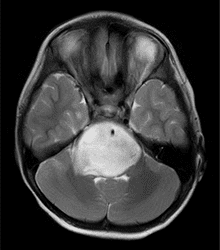
対象疾患
毛様細胞性星細胞腫 | 上衣腫 | 髄芽腫 | 脳幹部腫瘍 |
胚細胞性腫瘍 | 脈絡叢乳頭腫 | 頭蓋咽頭腫 | その他の小児脳腫瘍 |
① 高度で安全な手術治療
手術では「ナビゲーション(位置を正確に示す機械)」「術中モニタリング(神経の働きを確認する方法)」「術中蛍光診断(腫瘍の場所を光で分かるようにする方法)」「神経内視鏡手術」など、さまざまな技術を組み合わせて安全に行っています。
② 術後治療と新しい治療法の導入
小児の脳腫瘍は手術後の治療が極めて重要です。
当科では、それぞれの症例に応じて化学療法や放射線治療などの標準治療を確実に実施するとともに、臨床研究・治験に積極的に参加し、最新の治療法をいち早く取り入れる体制を整えています。
③ 小児科との密接な連携
小児の脳腫瘍治療は、多くの場合、複数の治療を組み合わせて行う必要があります。
当科では小児腫瘍科と緊密に連携し、末梢血幹細胞移植を用いた大量化学療法など高度な治療も実施可能です。
小児腫瘍科の専門医が同じ病棟に常駐しており、日々協力しながら最良の医療を提供しています。



当科の使命
私たちは、お子さんとご家族にとって「最も信頼できる専門的治療の場」であることを使命としています。
専門性に基づいた確かな医療で、小児脳脊髄腫瘍の治療に取り組んでまいります。
